2月12日,我院心血管内科张家立主任团队独立完成鞍山地区首例全新ROTAPRO™旋磨介入治疗系统临床应用,标志着我院在复杂冠脉钙化病变介入治疗领域实现新突破,技术水平再攀新高!
情凶险!高龄患者遭遇重度钙化狭窄
本次接受手术的是一位74岁男性患者,因反复胸痛、伴气短前来我院就诊,经检查确诊为非ST段抬高型心肌梗死。

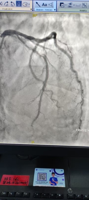
冠脉造影结果显示:患者左主干到前降支近中段重度钙化,伴70%~95%节段性狭窄,同时合并血栓,病变复杂、钙化严重,常规介入手术难度极大、风险极高。
面对高危复杂病情,张家立主任团队立即开展多学科术前讨论,全面评估病情、缜密制定手术方案,最终确定采用全新ROTAPRO™旋磨介入治疗系统+震波球囊技术处理钙化病变,并在IVUS(血管内超声)精准指导下植入支架,为患者打通生命通道。
△术前
技术突破!微创旋磨精准攻克钙化难题
手术过程中,张家立主任团队凭借精湛的操作技术,顺利完成钙化病变旋磨修饰、震波球囊预处理及支架精准植入。
全程手术平稳顺利,术后患者胸痛、气短症状明显缓解,生命体征稳定,恢复情况良好,标志着此次区域首例新技术应用圆满成功!

△术后
优势显著!新一代旋磨系统更安全、更高效
全新ROTAPRO™旋磨介入治疗系统,是针对复杂冠脉钙化病变的前沿利器,相比传统设备实现全面升级:
该技术的投入使用,为重度钙化、弥漫狭窄、高危复杂冠脉病变患者,提供了更先进、更安全、更有效的治疗选择。
医者担当!守护区域百姓心血管健康
此次鞍山首例ROTAPRO™旋磨介入治疗技术的成功开展,不仅是我院心血管内科诊疗技术的又一次飞跃,更是团队深耕复杂冠心病介入领域、不断追求技术创新的有力见证。
未来,我院将继续引进国内外前沿医疗技术,精进诊疗水平,以更优质、更高效、更安全的医疗服务,守护鞍山及周边地区百姓的心血管健康!

