腹水、反复上消化道出血——这肝硬化、门静脉高压患者最凶险的“夺命杀手”,一旦发作,随时可能危及生命。而传统治疗手段有限,外科手术创伤大、风险高,让许多危重患者陷入两难。近日,鞍钢总医院介入科在任东铭主任的带领下,凭借精准的术前评估与精湛的介入技术,成功独立完成一例高难度经颈静脉肝内门体分流术(TIPS),精准攻克门静脉海绵样变性这一临床技术难关,为一名肝硬化反复消化道大出血、大量腹水的危重患者成功开辟出一条“生命通道”。
病情复杂:门静脉海绵样变性成手术“拦路虎”
该患者为女性,因肝硬化合并食管胃底静脉曲张破裂出血多次入院,同时伴有严重血小板减少和大量腹水,身体状况极差,无法耐受传统外科手术。面对棘手的病情,任东铭主任团队详细评估病情,通过上腹部增强CT,团队精准掌握了患者的血管解剖结构。检查发现,患者的门静脉主干已完全闭塞,周围被大量迂曲、杂乱的侧支血管替代,呈现典型的“门静脉海绵样变性”——这是TIPS手术中公认的高难度挑战,穿刺难度极大,术中风险极高。
△术前
精准出击:TIPS手术架起“肝内桥梁”
为确保手术万无一失,团队术前反复推演手术路径,详细制定应急预案,并与患者及家属充分沟通,消除顾虑。
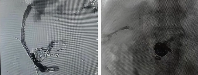
手术在局麻下顺利开展。术中DSA造影证实门静脉主干不显影,团队凭借精湛技术,严格按照术前方案,精准穿刺门静脉分支,成功建立肝静脉与门静脉之间的人工分流通道,并顺利植入支架以维持血流畅通,同时对出血血管进行栓塞处理。
△术中
术后患者门静脉压力下降45%,出血得到有效控制,腹水逐步吸收好转。
△术后
科普时间:什么是TIPS?
TIPS,即经颈静脉肝内门体分流术,是在X线透视引导下,经颈部静脉入路,在肝内“搭”一条连接肝静脉和门静脉的人工通道,用支架保持通畅。
核心作用:
快速降低门静脉高压
紧急控制/预防食管胃底静脉曲张破裂大出血
促进难治性腹水吸收
显著降低危重患者死亡率
与传统外科手术相比,TIPS具有微创、局麻、恢复快、可重复操作等优势,尤其适合高龄、身体条件差、无法耐受开刀的患者。
专家提醒:早评估、早干预,微创介入可救命
门静脉海绵样变性、顽固性腹水、反复上消化道大出血,均属于临床急危重症。鞍钢总医院介入科专家提醒,患者一旦出现上述症状,应尽早评估、尽早干预,选择适合的微创介入治疗,能够有效挽救生命,改善生活质量。
鞍钢总医院介入科将持续深耕外周及血管介入领域,以高精尖的微创技术,守护鞍山百姓的生命健康。



