2月3日傍晚17时许,鞍钢总医院住院部一部电梯内上演了一场惊心动魄的“生命接力”。一位门诊患者刚进入电梯便突发不适,随后意识丧失。紧急时刻,同乘电梯的心内科专家杨剑峰主任第一时间发现险情。


电梯抵达2楼,门开启的瞬间,杨主任毫不犹豫地将患者转移至地面,俯身进行初步评估。她高声呼救,声音穿透走廊。几乎在同一时间,心内科的医生与护士从病区各个方向冲向电梯口。抢救车、除颤仪、急救药品……短短数十秒内,所有抢救设备与人员悉数到位。
从院内猝发的第一现场,到专业抢救力量的迅速集结,一条无缝衔接的生命通道在最短时间内被打通。医护人员沉着冷静、配合默契,持续进行心肺复苏与药物抢救。历经十余分钟的紧急施救,患者终于恢复意识,自主呼吸逐渐平稳,生命体征趋于稳定。随后,患者被迅速转入病房完善检查,确诊为急性心肌梗死导致的心脏骤停。


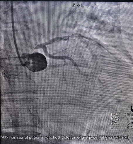
这场抢救不仅是一次本能的职业反应,更是一场依托于日常严格训练、高效协同的应急实战。当天晚间,心血管介入团队罗超、王忠颖医生为患者紧急实施冠状动脉造影。结果显示,患者冠状动脉左主干严重病变,狭窄程度高达99%,残余管腔细如发丝。


△术前术后
左主干被称为心脏的“生命线”,承载着70%以上的心肌供血,术中一旦闭塞将危及生命,手术风险极高。介入团队果断决策,采用高难度的冠脉介入导丝飘入技术:将导丝头端预塑为特定弯形,脱离指引导管支撑,依靠血流动力与导丝弹性,“漂浮”进入极度狭窄的血管。最终,手术成功实施,闭塞血管被顺利开通。
目前,患者病情平稳,正在心脏重症监护室(CCU)接受后续治疗与观察。


生命至上,分秒必争。此次成功救治,充分体现了鞍钢总医院医护人员临危不乱的专业素养、快速响应的应急能力,以及多学科紧密协作的团队精神。医院将继续秉持“以患者为中心”的服务理念,不断提升急危重症救治水平,为人民群众的生命健康保驾护航。

