近日,鞍钢集团公司总医院肿瘤医院放射治疗中心在肿瘤治疗领域实现了一项重要突破。科室借助先进的TrueBeam放疗设备,成功开展了一项名为“空间分割放射治疗(SFRT)”的新技术。该技术通过“精准格点”式的照射方式,为那些肿瘤体积大、治疗难度高的患者带来了新的希望。
截至目前,已为37例难治性大肿瘤患者实施了这项治疗。这些患者中包括软组织肉瘤、肝癌、肺癌、头颈部巨大肿瘤及盆腔复发肿瘤等,以往常规治疗手段效果有限。而SFRT技术犹如“精准狙击”,在强力打击肿瘤的同时,显著降低了对周围正常组织的损伤,提升了治疗的安全性与效果。
这项技术不仅代表了我院在精准放疗领域的进步,更是为众多肿瘤患者提供了一种更安全、更有效的治疗选择,真正体现了“科技护航生命”的医疗理念。
大肿瘤治疗,真的无解吗?
在放射治疗领域,大体积肿瘤(通常直径>5cm)或常规放疗后复发的肿瘤一直是临床治疗的难点。一方面,高剂量照射足以杀死肿瘤细胞,但对周围正常组织的损伤风险也随之剧增,常导致患者因无法耐受严重的急慢性毒性反应而中断治疗;另一方面,大肿瘤内部往往存在乏氧区,这些区域的肿瘤细胞对辐射具有显著的抵抗性,导致常规放疗效果不佳。
为破解这一难题,我院引进了以TrueBeam医用直线加速器为核心平台的空间分割放射治疗(Spatially Fractionated Radiation Therapy, SFRT) 技术。SFRT颠覆了传统放疗“均匀剂量照射”的理念,通过创造“峰-谷”交替的剂量分布,实现对肿瘤的“选择性超高剂量打击”,同时最大限度地保护关键器官。
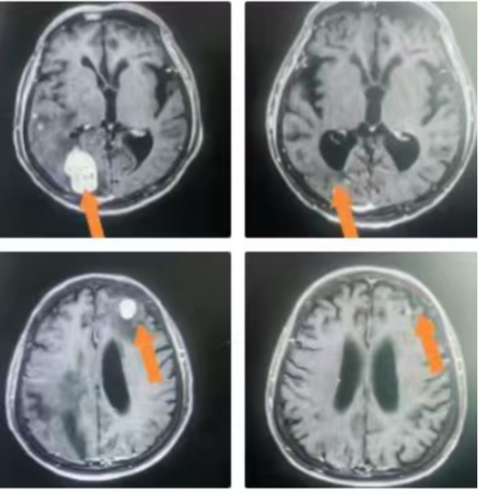
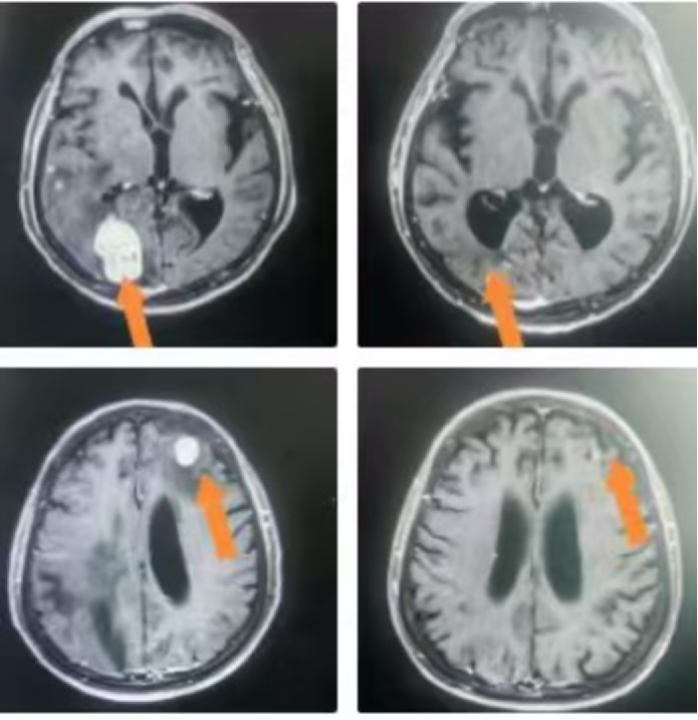
△病例展示
新技术如何实现“精准狙击”?
TrueBeam系统以其高剂量率、亚毫米级精度和先进的图像引导技术,为SFRT的安全、精准实施提供了理想平台。我科主要开展以下两种SFRT技术:
1. 2D GRID疗法:在二维中对肿瘤体积进行分割,通过带有规则间隔孔的网格准直器将照射野从宽光束变为笔形束,形成峰与谷间隔的剂量分布,将正常组织得到有效的保护。
2. 晶格放疗(Lattice Radiation Therapy, LRT):这是GRID疗法的3D进化版。我们在CT模拟定位后,基于患者的个体化肿瘤三维形貌,在治疗计划系统中虚拟设计一个三维的“剂量晶格”,将多个高剂量“球体”精确布设在肿瘤内部,特别是乏氧和增殖活跃的区域。这种“多点聚焦”式的设计,实现了治疗计划的高度个体化、精确化与安全化。
3.我科的精准实践流程:
· 精准定位:采用PET-CT模拟定位配合4D呼吸门控系统,确保在呼吸运动周期内精准勾画肿瘤靶区。
· 个体化计划设计:物理师与医师紧密合作,根据肿瘤的大小、形状、与周围危及器官的位置关系,个体化地确定晶格点的数量、位置和每个点处方剂量,并进行严格的剂量学验证。
· 图像引导下的精准治疗:每次治疗前,均利用TrueBeam集成的CBCT进行扫描配准,确保治疗体位与计划体位完全一致,将误差控制在毫米级,保障了治疗的精准化与安全化。
临床成果:37例实践彰显SFRT显著优势
截至目前,我科已成功为37例患者实施了基于TrueBeam的SFRT技术。这些病例包括软组织肉瘤、肝癌、肺癌、头颈部巨大肿瘤及盆腔复发肿瘤等常规治疗手段效果不佳的患者。
总结得出SFRT治疗技术的核心优势包括以下几点:
1. 卓越的局部控制率: 对于大体积肿瘤,SFRT展现了惊人的快速消退能力。患者通常在治疗后短期内即可观察到肿瘤体积的显著缩小,症状(如疼痛、压迫)得到迅速缓解。
2. 显著降低的不良反应: 与传统大野照射相比,SFRT技术将高剂量区域严格限制在预设的“峰点”内,周围正常组织受照剂量极低。37例患者均表现出良好的耐受性,未出现预期之外的严重放射性损伤,治疗得以顺利完成。
3. 激活“远隔效应”,协同免疫治疗:我们观察到,部分患者在SFRT联合免疫检查点抑制剂治疗后,不仅照射的病灶得到控制,未照射的远处转移灶也出现了缩小,即产生了“远隔效应”。这为晚期肿瘤患者的全身治疗打开了新局面,有望进一步提高患者的长期生存率。
未来,我们还要做什么?
经过初步临床实践充分证明,基于TrueBeam平台的空间分割放射治疗(SFRT) 是一项极具前景的精准放疗技术。它通过个体化、精确化的治疗设计与实施,成功解决了大肿瘤和难治性肿瘤的放疗难题,在获得优异疗效的同时,显著提升了治疗的安全性与患者的生存质量。
未来,我院将继续深化SFRT技术的应用,并重点探索其与免疫治疗、靶向治疗等多种手段的联合策略,优化治疗参数,积累更多循证医学证据,以期望让这一先进技术惠及更多肿瘤患者,为提升本地区的肿瘤放疗水平贡献力量。




