近日,鞍钢总医院心血管病医院CCU主任郭旭团队,成功为一名复杂冠状动脉慢性完全闭塞(CTO)病变患者实施逆向开通技术,这标志着我院在高精尖心血管介入治疗领域迈上新台阶,为鞍山地区复杂冠脉病变患者提供了更先进的诊疗方案。
老年患者血管闭塞,传统技术难以突破
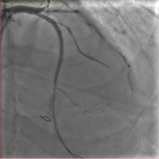
患者为62岁男性,此次入院前反复胸痛,伴有一次心源性晕厥的发生,就诊我院完善冠脉造影示前降支血管近段完全闭塞,为CTO病变,其余两支冠脉血管均有重度狭窄,因病变复杂且风险极高,建议家属首选外科搭桥手术,但经过反复沟通后患者及家属希望尝试微创介入治疗。
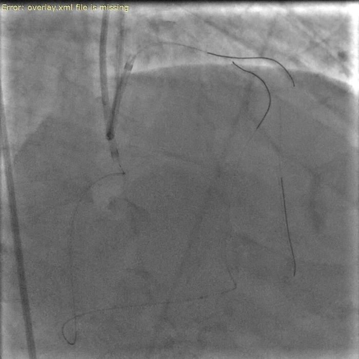
手术中,郭旭主任与团队成员密切协作,经过3个小时的不懈努力,在正向导丝技术通过失败的情况下,灵活更换多种治疗策略,最终通过更具挑战性的逆向CTO-PCI技术经侧支循环精准通过闭塞段,成功开通左前降支闭塞病变,全程操作流畅,术后患者无并发症,症状显著缓解。



△术前、术中、术后
技术突破意义重大,彰显学科协实力
CTO病变因闭塞时间长、纤维化程度高,被视为介入治疗的“最后堡垒”。传统前向技术成功率有限,而逆向技术通过侧支循环从闭塞段远端逆向突破、是目前处理复杂CTO病变的前沿策略,成为攻克高难病例的关键。
郭旭主任医师表示,随着人口老龄化加剧,复杂冠脉病变患者数量逐年增加。逆向开通技术的应用,为高龄、高危患者提供了更微创的治疗选择,避免开胸手术创伤,显著改善患者生活质量。
CCU病房作为心脏重症病房承担了较多复杂、高危患者的冠脉介入诊疗工作,未来将依托鞍钢集团公司总医院心血管病医院搭建的学术交流平台,再接再厉为本地区心血管疾病患者保驾护航。
