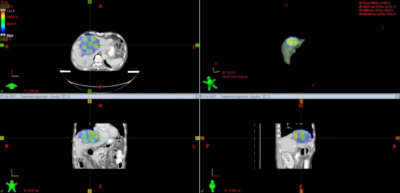
近日,鞍钢总医院肿瘤三病区成功为一位结肠癌术后、靶向治疗及化疗后的肝转移患者进行了空间分割放射治疗(SFRT)和免疫治疗(PD-1抑制剂)的结合治疗。此患者接受了600cGy/F的放射治疗,总计5次,基于TrueBeam平台完成了空间分割放射治疗方案,成功为患者提供更多治疗机会及提高生活质量。
什么是空间放射治疗?
空间放射治疗(SFRT)是一种使用非均匀剂量分布的放射治疗技术,旨在对肿瘤实施大剂量放疗,同时通过在肿瘤体积内交替分布高剂量“峰”和低剂量“谷”,减少对正常组织的损伤。它为复杂肿瘤的放射治疗提供了新的方向,尤其是对难治性、体积庞大的肿瘤有潜在的应用前景。
案例分享:

本次治疗的患者是一位结肠癌术后、靶向及化疗后出现肝转移的病人。针对其病情,选择了每次600cGy,总共五次的SFRT治疗方案,并同步应用了免疫疗法(PD-1抑制剂)。这种联合疗法不仅能精准打击肿瘤细胞,同时激活患者的免疫系统,进一步抑制肿瘤扩散。


在治疗过程中,使用TrueBeam平台的精密计划系统,确保了每一剂量都能够精准作用于肿瘤病灶,同时最大限度地减少了对正常肝脏组织的损伤。从治疗计划到实施,整个流程保持高水平的精度和稳定性。

空间放射治疗的优势
1.精准治疗:
通过分割辐射,治疗剂量集中在肿瘤区域,减少对周围正常组织的损伤。
2.减少副作用:
相比传统放疗,SFRT能显著减少放疗后的不良反应,提升患者的耐受性。
3.增强治疗效果:
与免疫治疗结合,进一步增强治疗的效果,提高患者的长期生存率。

空间放射治疗是放射肿瘤学未来发展的重要方向。随着技术的不断创新和临床经验的积累,SFRT将为更多肿瘤患者带来新的治疗机会。肿瘤三团队将继续探索并推广这种精准、有效的治疗技术,为患者争取更好的治疗效果和生活质量。