10月26日,在鞍钢集团公司总医院心血管病医院刘丽宏院长的带领下,由中国医科大学附属第一医院于波教授指导,心内科心律失常团队率先开展了鞍山市首例FARAPULSE脉冲消融术,成功为一位阵发性房颤患者实施FARAPULSE心脏脉冲消融治疗。该项技术的开展,标志着我院心内科紧跟国际和国内的技术前沿,在房颤治疗领域实现了又一次重大突破。

右1为于波教授,右2为刘丽宏教授
患者为一名70岁男性,因阵发性心悸就诊,经检查被诊断为阵发性心房颤动,因心房颤动频繁发作导致生活质量大幅下降。为了改善房颤相关症状,提高患者的生活质量,降低房颤导致的相关并发症的发生,刘丽宏院长组织心内科心律失常团体充分评估患者病情,经多次讨论,最终决定为患者实施“FARAPULSE脉冲消融术”。

FARAPULSE心脏脉冲消融术示意图
经过术前充分的筹备,手术团队、麻醉科和导管室医护人员的通力合作,心内科由张家立主任和刘晓明医生参与配合,手术有条不紊地进行。术中把脉冲消融导管放置于肺静脉口部和前庭部位,导管于不同位置可塑成不同的形状,通过脉冲消融系统释放2.0 kV的脉冲电场能量至心肌组织,致使心肌细胞达到有效的、不可逆的损伤,消灭了病变的组织。

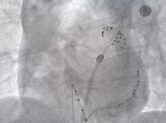
X线下FARAPULSE脉冲消融导管的形态:网篮状

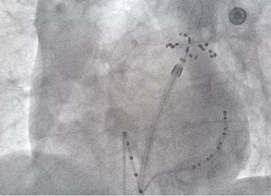
X线下FARAPULSE脉冲消融导管的形态:花瓣状
脉冲能量每次释放过程仅2.5秒,每根肺静脉释放脉冲能量4次。术中依次对LSPV、LIPV、RSPV和RIPV四根肺静脉进行了脉冲消融,术后起搏检测显示,患者的肺静脉均完成了电隔离,皮到皮手术时间接近1小时,手术顺利完成。术后患者各项体征正常,安全返回病房,无任何并发症或不良事件发生。
房颤是临床上最常见的心律失常之一,随着医疗器械的更新换代,目前房颤的治疗已进入一个新的阶段。脉冲消融术是近年来在全球医疗领域新兴起的房颤介入治疗方式,也是目前国内领先的房颤治疗技术,与现有的射频消融与冷冻消融术相比,脉冲消融具备心肌特异性消融的特点,能够进一步降低能量相关并发症的发生,避免邻近组织器官如食道、膈神经受到的附带伤害,使患者得到持续的健康收益和生活质量改善。

FARAPULSE一次性心脏脉冲消融导管
FARAPULSE脉冲消融术通过将高压脉冲电场能量输送至心脏特定部位,选择性损伤肺静脉前庭及心肌组织,完成肺静脉隔离并达到治疗房颤的目的。因不同组织细胞的电穿孔场强阈值不同,通过调节参数,脉冲电场消融可以实现心肌特异性消融,较为精确地消融靶向心肌组织,而不损伤毗邻组织。FARAPULSE脉冲消融术的安全性和有效性有多项临床研究的证实,具有成功率高、操作简单、并发症少等优势,是新一代十分具有潜力的心律失常治疗方式。

此次我院FARAPULSE脉冲消融术的实施,是该产品上市后在辽宁省内首批开展的手术,我院心内科心律失常团队不断超越自我,持续保持区域领先,在房颤治疗领域又迈上了新阶,相信随着这项技术的广泛开展,将会有越来越多的房颤患者从中获益。
愿我们的心脏拥有更加稳健的脉动,冲向美好的未来!