病情简介
陈某,女患,于外院行肺CT检查提示右肺上叶中央型肺癌所致阻塞性肺不张,于外院反复治疗效果差,家属为求进一步诊治就诊我院呼吸与危重症医学科,入院时患者呼吸困难明显,持续咳嗽,大汗淋漓,表情痛苦。呼吸与危重症医学科主任沈明仔细阅片后,予患者行气管镜检查,术下可见“主气道、右主支气管新生物”,致大气道狭窄。

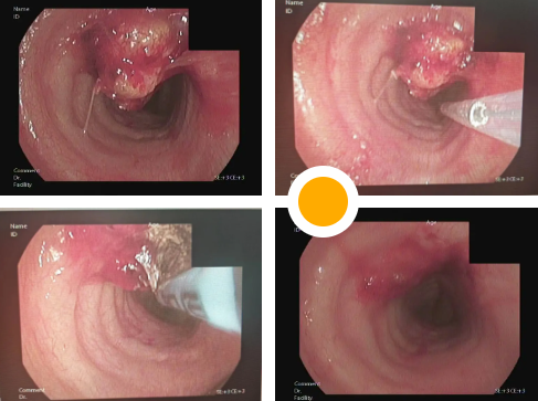
△主气道新生物

△右主气道新生物
7月7日沈明主任与麻醉科团队讨论后决定全麻下行硬质支气管镜下运用电圈套器、APC等综合介入治疗予“主气道、右主支气管新生物切除术”。该项技术成功开展标志着我院支气管镜介入诊疗技术迈入新征程!

△切出的新生物
该手术在麻醉科协作下,呼吸与危重症医学科沈明主任于硬质支气管镜下分别对大气道及右主支气管新生物反复行电圈套器电切、APC等方法精准切除0.6*0.5cm瘤体、0.7*0.6cm瘤体各一枚,术程顺利,术后患者管腔恢复明显通畅,患者呼吸困难症状迅速得到改善且未见出血,超过预期效果。为患者后续手术及放化疗争取到宝贵的时间。
1.氩等离子体凝固术
氩等离子体凝固术(氩等离子凝固术,APC)又称氩气刀,是一种应用高频电流将氩气流电离,并以非接触性方式引起局部高温凝固效应,使组织失活并达到止血的目的和致使组织坏死的一种方法。
2.氩气刀适应症
(1)肉芽肿
(2)不宜手术的大气道恶性肿瘤且伴有气道狭窄
(3)大气道的良性肿瘤,除外血管瘤
(4)支气管镜下可窥见的活动性出血病灶
(5)手术、外伤疤痕引起的局部气道狭窄
(6)其他:异物、支架的辅助治疗
3.氩气刀治疗优势
(1)不直接接触人体组织,避免了接触治疗引起的导管(电极)头粘连堵塞,及治疗后结痂随导管(电极)脱离后引起创面的再次出血;
(2)能在短时间内有效地对大面积出血进行凝血:
(3)连续性凝固,高频电流随氩离子束自动流向尚未凝固或未完全凝固的创面避免了过度的电凝;
(4)组织损伤深度限制在3mm以内,不易导致薄壁脏器穿孔;
(5)氩气为保护性惰性气体,对机体无毒无害;
(6)无碳化现象,利于伤口的愈合;
(7)无汽化现象,降低了消化道穿孔的危险性;
(8)能对高阻抗组织如骨组织进行有效止血和切割。
(9)烟雾较少,能保持较好的治疗视野。
鞍钢集团公司总医院呼吸与危重症医学科一直以来注重临床创新,运用新思维,开拓新技术,打造新亮点,建设品牌优质团队。目前我院呼吸与危重症医学科整体处于省内领先水平,也是同地区开展呼吸介入诊疗项目较全面的医院,如超声支气管镜(EBUS-TBNA)、硬质镜技术、冷冻肺活检技术、气道内支架置入技术、高频电刀技术、氩等离子体凝固术、球囊扩张技术、气道内减瘤手术等,让地区内及周边患者就近享受先进的医疗技术和优质的医疗服务,满足群众的健康需求。