近日,我院介入科任东铭主任团队,开展了我市首例氩氦刀介入手术。

病例1:
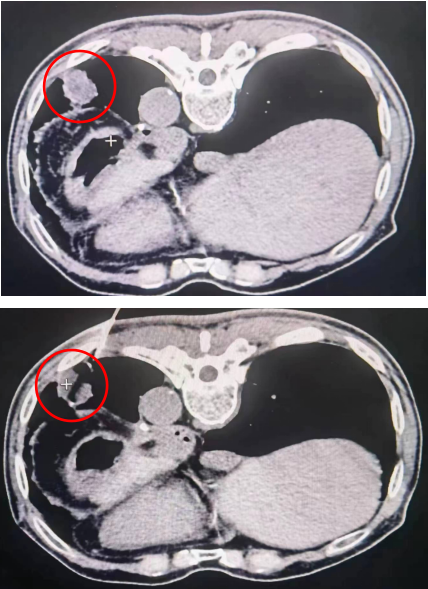
患者男性,79岁,食管恶性肿瘤手术切除后肺转移。病灶距离胸膜较近,常规微波及射频等热消融,会导致剧烈疼痛而无法完成手术,同时可能导致胸膜及神经、大血管损害,导致严重并发症甚至危及生命。经介入科会诊决定,采用最先进的氩氦刀消融治疗。术中精准定位后,采用氩氦刀治疗,手术顺利,全程患者无明显疼痛及不适,术后即可见到肿瘤组织完全坏死,手术取得圆满成功。

△肿瘤冷冻后形成“冰球”

病例2:
患者男性,54岁,既往肝癌,于我科行规律介入栓塞治疗,肝内病灶控制良好,近1年前发现左侧耻骨转移,病灶逐渐增大,患者疼痛难忍,置入止疼泵后仍无法较好缓解疼痛。既往热消融治疗2次,患者无法耐受手术疼痛,同时因怕损伤周围的膀胱、输尿管、神经、血管等正常组织,无法消融彻底,肿瘤生长迅速。在此次氩氦刀冷冻消融治疗中,患者无疼痛及不适感,配合良好,病灶消融完全。除了彻底破坏肿瘤细胞外,同时,因氩氦刀能特异性选择肿瘤组织进行消灭而不损伤正常的组织,而使肿瘤得以充分的消灭。在经过氩氦刀治疗后,患者白介素-2,白介素-6,肿瘤坏死因子和特异性抗体的水平分泌增加,同时起到免疫抗肿瘤的作用。

△肿瘤冷冻后形成“冰球”形成“冰球”
氩氦刀冷冻消融治疗属于纯物理治疗,治疗肿瘤效果确切、不导致癌细胞扩散、治疗过程微创无痛苦、恢复快、不损伤正常组织,还可以有效地调控细胞因子和抗体的分泌,改善患者免疫功能。其机理是肿瘤组织细胞反复低温(-160℃)冰冻、融解,细胞破裂,细胞膜融解,从而促使肿瘤细胞被彻底破坏。它是继射频消融治疗,微波,激光,超声聚集刀,伽玛刀等之后发展起来的最新的肿瘤治疗新技术,代表世界肿瘤治疗先进水平。
氩氦刀适用于肺癌治疗、肺部良性肿瘤、肝癌治疗、肝血管瘤、胰腺癌、乳腺癌、乳腺增生、脑瘤、脊髓膜瘤、前列腺癌、前列腺增生、肾癌、肾上腺肿瘤、会阴部肿瘤、子宫癌、宫颈癌、卵巢癌、阴茎癌、皮肤癌、黑色素瘤、血管瘤、骨肉瘤、扁桃体癌、咽喉部肿瘤、鼻咽癌、神经纤维瘤、脂肪肉瘤、口腔癌、舌癌、颌面部肿瘤、颈部肿瘤等。
鞍钢总医院介入科是我市唯一的辽宁省介入专业重点专科及鞍山市介入医学重点专科,是鞍山市周围血管与肿瘤介入质控中心。经过数十余年的不断发展,鞍钢总医院科室现设立两个病区,病房床位68张,血管介入、肿瘤介入及综合介入3个亚专科治疗组,常规开展各类介入手术,年手术量1500余台,介入医疗技术处国内先进水平。
介入科设有包括博士生导师、博士、硕士介入专业医学医生10人,护士人员15人,下设血管疾病及糖尿病足学组、静脉疾病及妇儿疾病学组、综合及神经血管疾病介入学组和肿瘤介入学组等4个学组;同时承担中国医科大学实习教学任务及辽宁省住院医师培训基地;中心开展了下肢血管闭塞的介入研究、糖尿病足的介入治疗、食管胆管狭窄的支架植入、肺癌超选择栓塞、肺癌DSA分期、肝癌的多种介入方式的对比研究、肝癌及肝转移癌、肺癌的消融治疗及放射粒子植入等,并获辽宁省自然基金及鞍山市科技进步奖。
介入科常规开展以下各类手术:
1.各种良恶性肿瘤:肝癌 肝转移癌 肺癌 肾癌 肝血管瘤 子宫肌瘤,前列腺肥大的栓塞治疗;肝肾等囊肿及脓肿的引流术,肝硬化门脉高压的TIPS手术
2.血管狭窄闭塞的支架治疗:下肢动脉狭窄闭塞 肾动脉狭窄 颈动脉狭窄 糖尿病足;下肢静脉血栓与肺梗塞,腹主动脉瘤
3.静脉疾病:下肢静脉血栓的取栓及滤器植入与取出,大隐静脉曲张的介入消融治疗,静脉狭窄的支架植入,透析患者的透析通路狭窄闭塞的介入治疗,肝硬化门脉高压出血及腹水的门体分流术(TIPS),儿童的血管瘤病及血管畸形
4.胆管恶性狭窄 食管丶气管肠管(十二指肠及结肠)狭窄的支架治疗
5.出血性疾病:肝硬化门脉高压出血的TIPS(门体分流)妇产科出血、泌尿系及盆腔出血,大咯血,消化道出血等的急诊介入止血
6.各种肿瘤的氩氦刀、微波消融治疗及放射粒子植入
7.各类恶性肿瘤的靶向化疗及载药微球栓塞治疗
其中,氩氦刀的肿瘤治疗,肝癌的亚亚段栓塞、肺癌的微导管超选择栓塞、肺癌的微波消融治疗、I125放射粒子植入治疗,子宫肌瘤和子宫肌腺症的介入治疗、长段股动脉闭塞的支架植入术和药物涂层球囊(DCB)治疗、肾动脉狭窄及移植肾动脉狭窄的支架治疗、肠系膜上动脉狭窄的支架治疗,颈动脉狭窄支架植入术、锁骨下动脉狭窄闭塞的支架植入术、椎动脉狭窄的支架治疗,大隐静脉曲张的射频消融治疗及硬化治疗,髂静脉狭窄的支架治疗,下肢静脉血栓的可回收滤器植入及取出及下肢静脉血栓的介入取栓治疗及导管溶栓治疗,透析通路狭窄闭塞的介入扩张成型术,布加综合征的介入治疗、大咯血的急诊介入栓塞、肝肾破裂的急诊栓塞、急诊盆腔大出血的介入栓塞、妇科出血疾病的急诊介入治疗肺癌的消融治疗、实体恶性肿瘤的粒子植入治疗等均为我市首例。