2月14日,鞍钢总医院心血管病医院心内一科李宁主任团队,应用Shockwave振波球囊技术完成鞍山地区首例针对冠状动脉严重钙化病变的介入治疗,手术获得圆满成功。此项技术的成功开展标志着我院在处理严重冠脉钙化病变的介入治疗水平迈上新台阶,有了新手段。

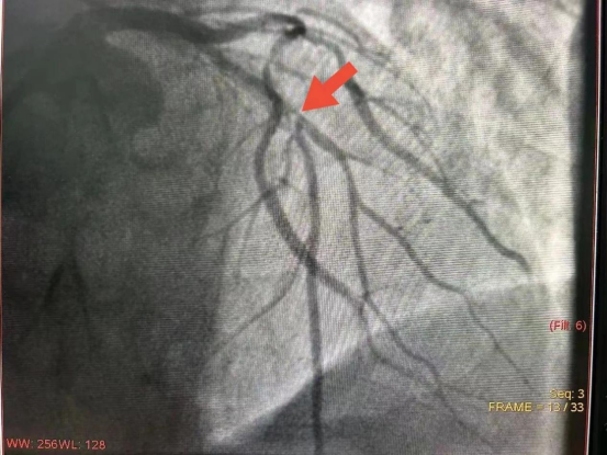
患者李先生,51岁,不稳定型心绞痛病史多年,冠状动脉造影提示冠脉三支病变伴有严重钙化,尤其前降支狭窄程度达到90%以上,并伴有360度环形重度钙化。严重钙化病变是介入治疗的难点之一,往往导致手术难度和风险呈几何倍数增加,钙化病变难以突破和扩张,极易发生血管夹层、穿孔和破裂等情况;在后续支架治疗中,若钙化病变未充分扩张,极易出现支架膨胀不良,贴壁不良,支架脱载进而导致急性、亚急性支架内血栓形成,支架内再狭窄等情况出现,均会直接危及患者生命。

△术前造影
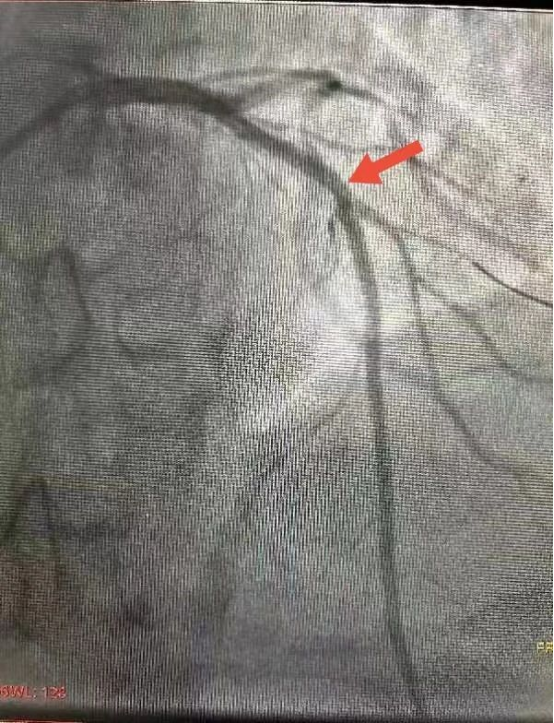
充分考虑到手术难度及风险,李宁主任团队经术前会诊讨论后决定选用目前国际上最先进的振波球囊技术预处理病变后置入支架。经过6个周期,共计60次的振波治疗,钙化病变及狭窄血管段顺利松解,充分恢复血流后,顺利置入心脏支架2枚。术中术后患者无特殊不适症状,无并发症出现,现已康复出院。

△术后造影

振波球囊是目前国际上治疗冠状动脉钙化病变的最新技术,通过球囊低压扩张向病变发射非聚焦、脉冲式的冲击波,安全的碎裂血管钙化,改善血管顺应性。由于振波能量仅对坚硬的钙化病灶有作用,而对柔软的血管壁没有损伤,可达到刚柔并济的效果,真正做到血管扩张且无损伤,为复杂高危的冠状动脉钙化病变患者带来了福音。