病例回顾
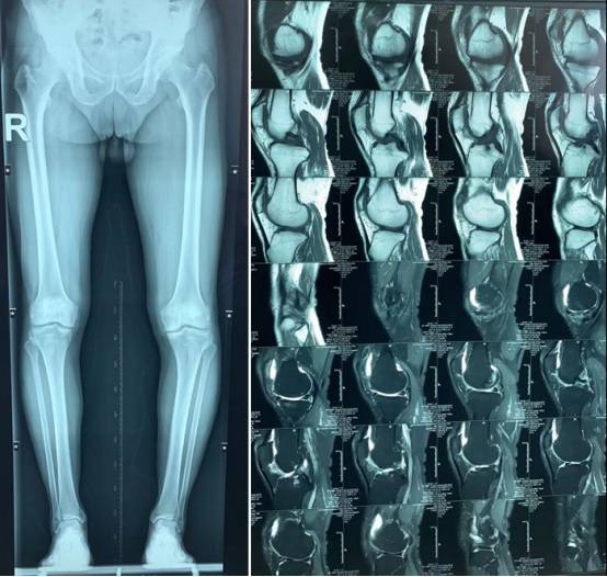
一名64岁的男性患者,由于左膝关节间断疼痛活动受限3年。期间行保守治疗,左膝疼痛未见明显好转,为解决膝关节疼痛,辗转于多家医院,最后就诊于我院骨三病房。
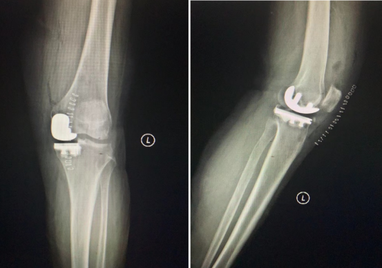
经骨三病房(关节外科)孙宝玲主任团队详细检查后,确定为患者实施微创膝关节单髁置换术。经过术前充分讨论分析和精确的手术设计,成功为患者实施了左膝关节单髁置换术。

该患者术后第一天就可以坐起活动,术后第二天就能实现行动自如。该患者表示:“真没想到,我这么快就能下床走路,现在和正常人一样,膝盖也不疼了。

△术前及术中

△术后
孙宝玲主任介绍说,作为一种“修补术”,膝关节单髁置换术就像补牙一样,是一种真正意义上的精准治疗。目前把它归在保膝治疗的范畴,就是把磨坏的软骨及半月板补上,最大限度地保留患者的正常结构,使其更接近正常关节。
医学科普

单髁置换手术是骨三病房(关节外科)团队膝关节炎阶梯治疗核心技术之一,目前骨三病房膝关节阶梯治疗:早期中西药物及关节镜微创治疗;中期采取单髁置换或截骨矫形;后期采取全膝关节置换术。单髁置换手术的开展标志了骨三科膝关节炎阶梯治疗的完整性。
相比于全膝关节置换术,单髁关节置换术具有术后康复快速、切口小、暴露范围小、保留前交叉韧带、出血量少、截骨量少、软组织破坏少、术后功能良好、翻修后效果好等诸多优势,术后发生下肢静脉血栓等并发症的概率也大幅降低。
出诊专家:孙宝玲主任
出诊时间:每周一上午
出诊地点:骨科专家门诊
咨询电话:0412-6706708